Patient Care @Symphony Dental Care
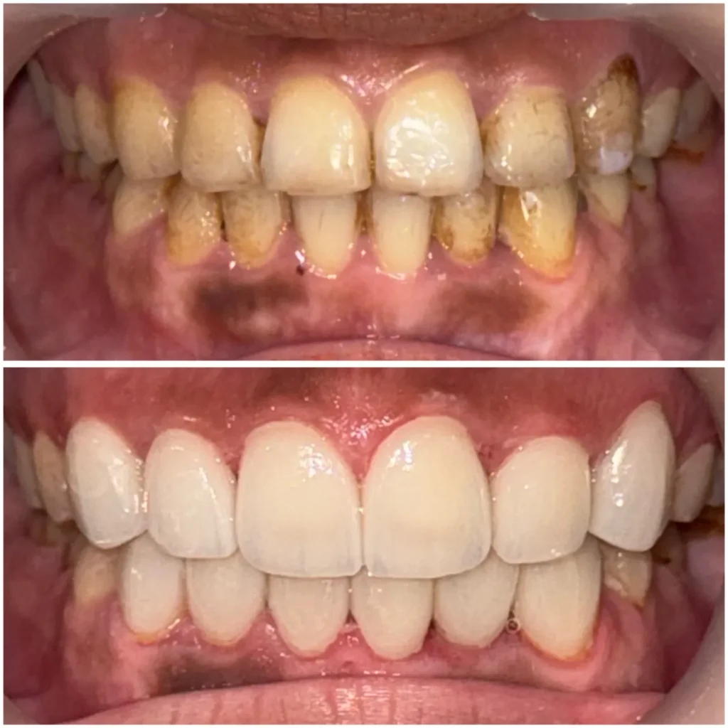
Dental Veneers Results


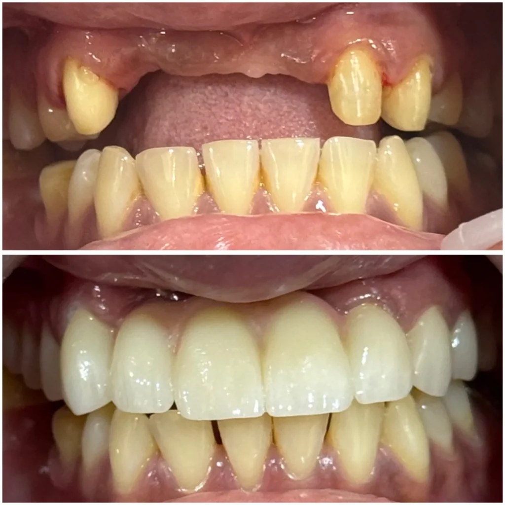
Dental Veneers


Dental Veneers


Dental Veneers
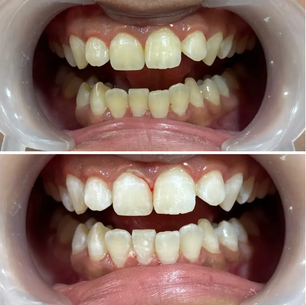
Teeth Whitening Treatment Results


Teeth Cleaning & Whitening


Groom teeth whitening


Teeth Cleaning & Whitening
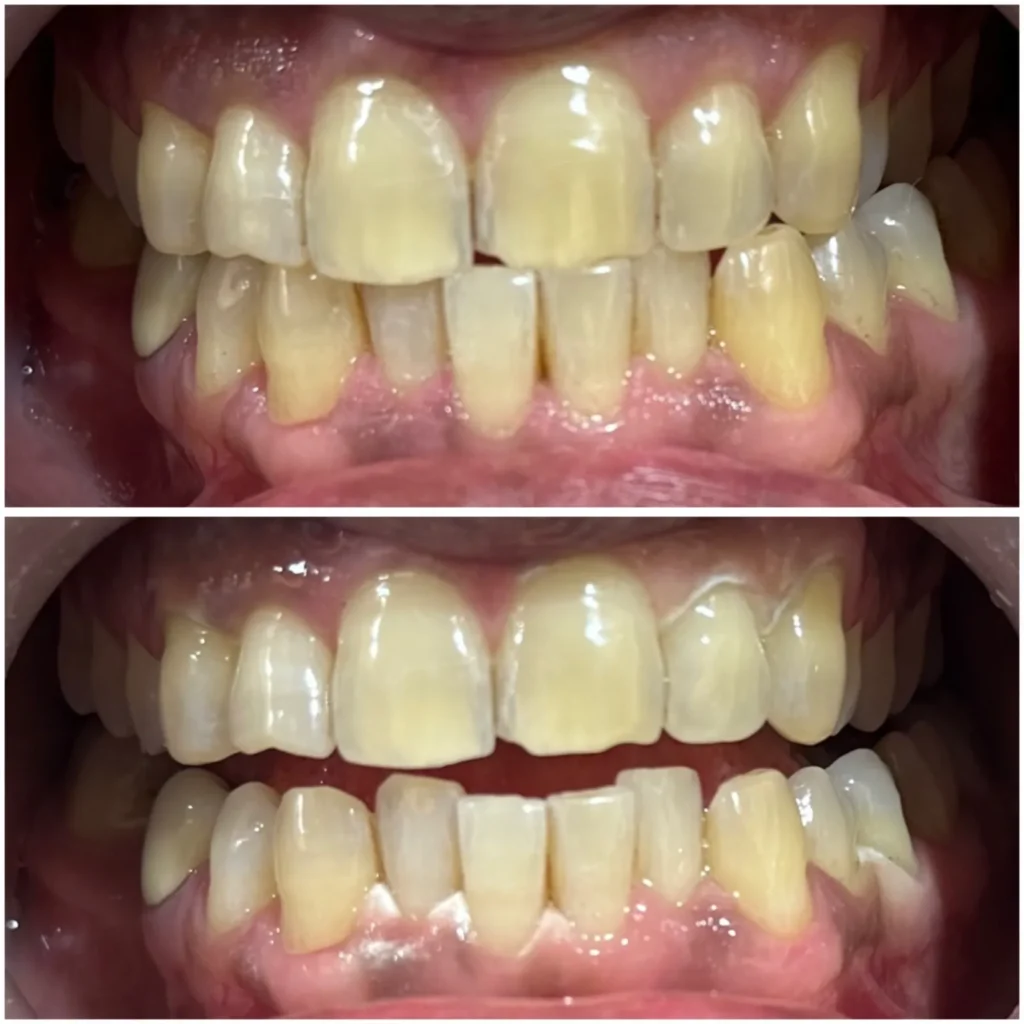
Dental Treatment Results


Tooth coloured filling


Teeth composite Filling



