What is Teeth Whitening Treatment?
Teeth whitening is a cosmetic dental procedure designed to lighten tooth color and remove stains caused by food, beverages, smoking, aging, or lifestyle habits. Over time, teeth can lose their natural brightness due to surface stains and deeper discoloration within the enamel. Professional teeth whitening restores the natural whiteness of teeth safely and effectively, enhancing the overall appearance of the smile.
Unlike over-the-counter whitening products, professional teeth whitening is performed under dental supervision using clinically approved materials. This ensures better results, reduced sensitivity, and uniform whitening across all visible teeth.
At Symphony Dental Care, teeth whitening treatment is carefully planned to deliver noticeable, natural-looking results while protecting tooth enamel and gum health—making it an ideal option for patients seeking a brighter, more confident smile.


What Happens During the Procedure






1
Dental Evaluation & Cleaning


2
Gum
Protection


3
Whitening Gel Application


4
Light
Activation
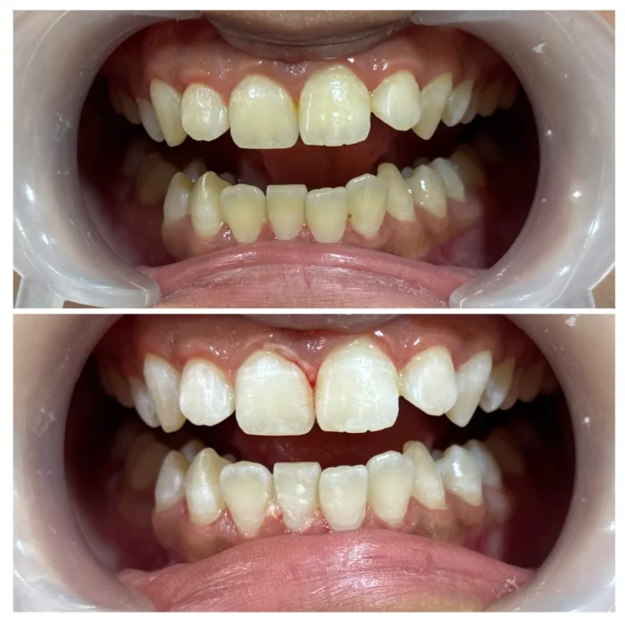
Teeth Whitening Treatment Results
Ideal Candidates for the Procedure
- Teeth whitening is ideal for individuals with healthy teeth and gums who are unhappy with tooth discoloration or dullness.
- Patients with stains caused by tea, coffee, wine, smoking, or aging respond particularly well to professional whitening treatments.
- Patients seeking cosmetic improvement without invasive dental procedures are also require teeth whitening treatment
- Those preparing for special occasions such as weddings, professional events, or personal milestones often choose teeth whitening to enhance their smile quickly and effectively.
Benefits of Teeth Whitening Treatment


- Whiter teeth instantly improve facial appearance, making the smile look healthier, cleaner, and more youthful.
- Professional teeth whitening is safe and controlled. Unlike DIY products, dental whitening minimizes the risk of gum irritation and uneven results.
- A brighter smile often boosts self-esteem and positively impacts personal and professional interactions.
- Teeth whitening provides visible results in a short time, making it one of the most effective cosmetic dental treatments.
- Professional whitening delivers longer-lasting and more uniform results compared to over-the-counter options. With proper care and maintenance, patients can enjoy a brighter smile for an extended period.
Most Trusted Dental Clinic in Khar West
Real Stories, Real Smiles


Google Reviews (5/5)






Getting aligners treatment was always on my mind. Dr Sailee and Dr Sharvari have been excellent. Genuinely happy with the results after 8months of the treatment.
Things have been systematic, and the clinics atmosphere is very comforting.








The doctor explained everything properly before the procedure and even the pre and post-operative instructions were explained in a very simple way. You can clearly see the depth of knowledge and care here. I felt well taken care of throughout, and recovery also went better than I expected.
If you’re thinking about implants or any major dental work, I would genuinely recommend Symphonia Dental Care and Dr. Sailee. You’ll be in safe hands for sure.










Went to extract my decayed tooth and it was completely painless.
Good support was provided for the next 4-5 days as well.
Best part is Dr. Sailee tries to save the tooth as much as possible over extraction or placing implants, so I would recommend the clinic for trustworthy experience!













